Translate:
For inquiries about aligner orthodontics or to learn more about our orthodontic aligner options, call us at 0124 4294280 or 9910088966. Visit our orthodontics dental clinic for expert assistance.
EN
Translate:
For inquiries about aligner orthodontics or to learn more about our orthodontic aligner options, call us at 0124 4294280 or 9910088966. Visit our orthodontics dental clinic for expert assistance.

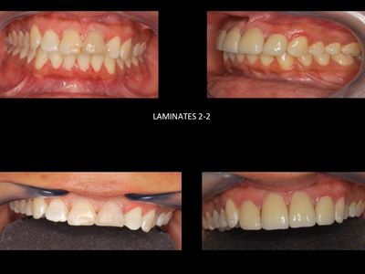
Ceramic laminates are thin wafer-like shells of ceramic created in the lab to restore the shape of the front teeth. The tooth that needs laminates is prepared/ cut and a mould is made. This mould is in turn sent to the lab for the fabrication of laminates in the shape that is customized for each patient. The laminates are then fixed on the cut tooth with the help of glue. Laminates give a glass like finish to the teeth, the closest we could get to the tooth enamel.
Cutting of teeth is undertaken under the effect of Local Anaesthesia. After the teeth are prepared and impressions made, the cut teeth are shielded with temporary restorations. These temporary laminates or crowns block sensitivity and also maintain the continuation of a smile during the waiting period.
The cavities are only prevented on the surface of the teeth, which is covered by the laminate or veneer. The incidence of cavities is neither more nor less on the natural tooth surface. A good home care will only prevent cavities.
Ceramic laminates can last from anywhere between seven to twenty years and a lot depends upon how you take care of them. With proper cleaning, caution not to bite on excessively hard objects, we can prolong the life of ceramic laminates or veneers.
In case of a small chip or a crack, a porcelain laminate or veneer can be repaired. In case of a fracture, ceramic laminate would have to be removed and repeated.
It is a little difficult to match the colour or shape of a single crown or a laminate but it is not impossible. It is always advisable to accomplish it in pairs to achieve the desired aesthetics in the smile in regard to shape and size of porcelain laminates.
No. The porcelain laminates should not stain.

So, what’s cosmetic dentistry? It’s like the ultimate makeover for your teeth! It’s all about making your smile look as fabulous as you feel. 💁♀️
Here are some popular treatments you might wanna check out:
1. Teeth Whitening: Got a little coffee or tea stain situation? ☕️ No worries! You can brighten up your smile with professional bleaching treatment that really amp up that shine.
2. Veneers: Think of these as movie-star glam for your teeth! 🎬✨These thin, custom-made shells fit right over your teeth, giving you that flawless look.
3. Bonding: If you have chips or gaps, bonding is a quick fix. 🎨A tooth-colored resin is applied to smooth things out, making your smile selfie-ready!
4. Crowns: When your tooth needs a little extra love or is damaged, crowns are the chic hats they wear! 👑 They cover the whole tooth, making it look brand new again.
5. Invisalign: Want straight teeth without the metal mouth look? 🙅♂️Invisalign offers clear aligners that are super comfy and practically invisible. Yay for discretion!
6. Gum Contouring: If your gums are stealing the spotlight, this procedure reshapes them to bring balance back to your smile. 😁
Cosmetic dentistry isn’t just about looks—having a confident smile can boost your self-esteem and help you feel more like your authentic self when you step out into the world. 🌍✨
Thinking about making a change? Chat with a Cosmetic Dentist to find out what’s best for your unique smile goals. What are you waiting for? Let’s get that glow-up! 🌟😄

Composites are seriously changing the game in cosmetic dentistry, and we’re here for it! 🙌💎 Here’s what you need to know:
Composite Fillings:- Say goodbye to those old-school silver fillings! 🚫✨ Composite fillings are tooth-coloured materials that blend seamlessly with your natural teeth. They’re like little magic potions filled into cavities in layers—plus, they’re cured using a super-cool blue light! 💡📸 This means you get a smile that looks natural and bright, without those bulky metallic vibes.
Composite Veneers- Want to elevate your front teeth? Composite veneers have got your back! These are thin, stylish covers that reshape your teeth right in the dental chair. 🪄✨ Perfect for achieving that dream smile without the long wait.
---
💡 Why They Matter:
These composite materials not only look great, but they also help keep your teeth healthy and strong. If you’re ready to make your smile even more stunning, don’t hesitate to explore composites with your dentist! Your glow-up is just an appointment away! 💖😄
Let's talk about dental restorations – fillings, crowns, veneers, the whole shebang. You're probably wondering, "How long will this stuff last?" 🤔
The Short Answer: With good home care and regular dental checkups, modern dental restorations can last for years, even decades. Think of it like this: you invest in a dope pair of sneakers, you take care of them, they last longer, right? The same goes for your teeth! 👟🦷
Pro Tip: Think of your dental restorations as an investment in your future smile. Take care of them, and they'll take care of you! 😎
In some individuals who are allergic to monomers or synthetic resins, composites can cause sensitivity.
In cases where the cavity is very deep, sometimes, sensitivity occurs. That is the case where you might require a Root Canal treatment.
Composite fillings can last for years at end till their gloss or margins are intact. Any roughening on the surface of the filling or a new cavity between the filling and the tooth surface can compromise the filling. Composite fillings are permanent but are not maintenance-free. We need to keep getting them checked and polished from time to time.

There is no permanent damage caused to the enamel or any other tooth structures by teeth whitening
Sensitivity from tooth whitening is always transient. That means if there is any sensitivity caused by the whitening, it goes away within one to two days after the treatment, and the patient returns to the state of sensitivity he or she had prior to starting the whitening process.
Most people are candidates for tooth whitening, but again, each situation is unique and it’s best to contact your dental professional.
Yes, many studies have proven that bleaching is safe. You can protect your tooth enamel by using calcium sulfate and fluoride
It is expected for teeth whitening to last from six months to two years. Avoiding red wine, coffee, and smoking — all of which can cause staining — helps preserve the results.
Tooth whitening has little or no effect on restorative materials such as porcelain crowns but it may temporarily reduce the bond strength between enamel and composite restorations. This is why it’s a good idea to check with your dental professional before beginning any course of tooth whitening.
Whitening toothpastes typically only clean surface stains and don’t actually change the colour of the teeth. There may be some visible results, but the teeth aren’t actually being whitened.

A new fashion trend first worn only by celebrities but is now accessible for all of us! Take your pick.
Tooth Jewellery is a silver, gold, diamond, ruby and sapphire crystals designed specifically for dental use. Unlike other procedures that involve drilling to place the jewel into the teeth, here, only a small amount of composite material is used to attach the crystal on the tooth.
Once the jewel is properly placed on your tooth, it can last for a long time. On an average, it may last for at least 6 months up to many years.
You can now dress your smile with a top-quality jewel that will tantalize your teeth. Tooth jewellery is the eye-catching glimmer that always draws a second smile. We will add a little “bling” to your smile that will surely set you apart from the rest of the crowd!
Prof. DR. ANIL SHARMA/ DR, SONIA SHARMA
visit us for Orthodontic Treatment, braces, invisible braces, root canal treatment, crown & bridge, white fillings, ceramic laminates & veneers, premium dental implants, bleaching, etc